smile possible
to invisible
the future is clear
partner with AlignVisor today
interested in becoming part of our team
become a certified AlignVisor doctorAs a certified partner
If You Own A Dental Laboratory
? WHAT WE DOWe can receive case files on your behalf
study, design, and print them for you — or we can send you the designs to print yourselfIf You Own a Clinic
? WHAT WE DOsend us your X-ray files


At AlignVisor, we are redefining the future of orthodontics through precision, innovation, and a commitment to excellence. We provide high-quality, customized clear aligner solutions backed by advanced 3D technology and a global network of expert orthodontists.
Education and Implementation Offerings
Online and in-person training sessions available to help you administer clinical care with confidence
360 Support via
orthobrain Core
Our comprehensive support system designed to help you succeed in orthodontics
Profitability
Generate new revenue by delivering happy, healthy smiles with aligners prices perfectly for maximum profit
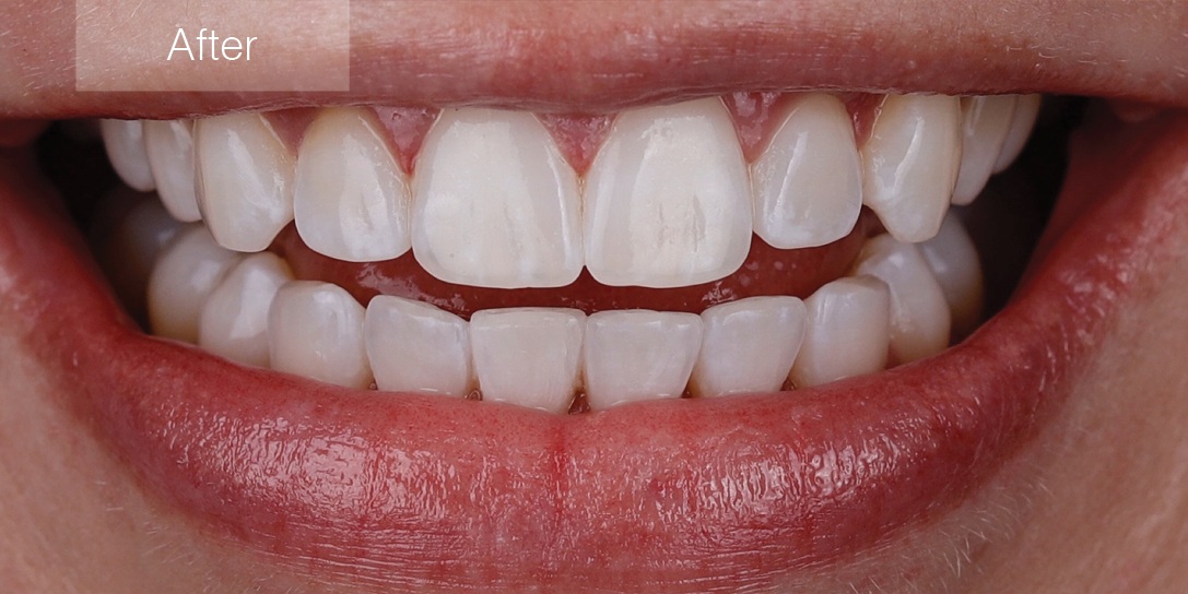
Designed for Comfort
ith their softer, more pliable material, alignvisor® aligners deliver a comfortable experience for your patients
Time Management
Treatment plans crafted by expert Orthodontists so you can have more time with your patients
Easy Access
Top-of-the-line, affordable aligners and case management with no certification required








